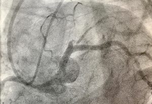
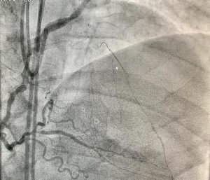
Na quarta-feira (17/04), o serviço de Hemodinâmica do HCFAMEMA (Hospital das Clínicas da Faculdade de Medicina de Marília) realizou o primeiro procedimento de angioplastia coronariana por via retrógrada, da região.
O procedimento realizado pela equipe do Prof. Dr. Igor Ribeiro de Castro Bienert e Prof. Pedro Beraldo, consiste em contornar todo o coração através das coronárias, vasos que nutrem o coração, de um lado ao outro, para desobstrução de lesões que provocam infarto do miocárdio e que não puderam ser tratadas por técnicas convencionais de cirurgia.


A técnica foi desenvolvida no Japão e é uma alternativa eficaz para pacientes com obstrução total crônica grave.
São poucos Centros no Japão e no mundo que realizam esse tipo procedimento, sendo considerado raro e caro.
O paciente veio referenciado pelo Japão, sendo atendido pela equipe da Hemodinâmica, do HC I, a qual realizou o procedimento em referência. O paciente teve já alta e passa bem.
“A capacidade e a qualidade dos serviços prestados pela Hemodinâmica do HCFAMEMA, não se resume apenas na realização desse procedimento, mas sim de um conjunto de técnicas aplicadas pelo Serviço no atendimento à população assistida, beneficiando principalmente os pacientes do SUS,” ressaltou o Prof. Dr. Igor Ribeiro de Castro Bienert, médico da Hemodinâmica do HCFAMEMA.
“O HCFAMEMA apoia e incentiva incorporação de novas tecnologias para melhoria da qualidade da assistência a saúde da nossa população. E esse procedimento que foi realizado é complexo, procedido em casos extremos, em centros altamente especializados no mundo e põe o HCFAMEMA ao lado de grandes instituições internacionais “, enfatizou a Superintendente do HCFAMEMA, Dra. Paloma Aparecida Libanio Nunes.
